The Winchester Star Awards Winner - 5 Years in a row

Prophylaxis – Tooth Cleaning In Winchester, VA
It is Very Important to Create a Routine Cleaning Regimen for Your Teeth.
Making regular dental appointments part of this will help keep you on track with your oral hygiene in order to help prevent cavities and gum diseases.

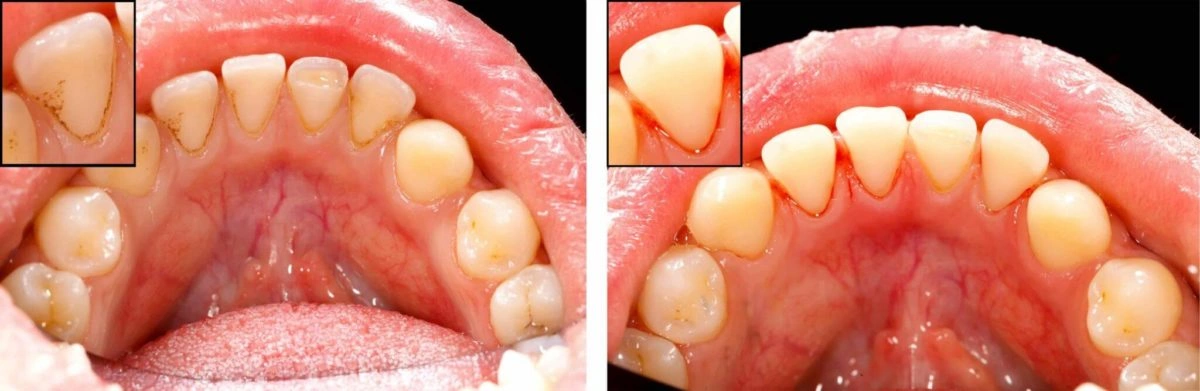
Most people do a great job of cleaning their teeth at home, which is very important. But nobody, not even the dentist, can keep their teeth 100% clean all the time. Plaque (a word for food deposits mixed with bacteria), covers your teeth as a film and when you don’t remove 100% of it every day, over time, it slowly calcifies into what we call tartar (also known as calculus, hard mineral deposits). A toothbrush cannot remove calculus/tartar which is why it is recommended to see your dentist and hygienist every 6 months in order to clean the tarter/calculus off the teeth to prevent gum disease and cavities (Caries).
- Medical history/review
- Blood pressure check
- Full charting of your existing dental work
- Muscle and joint exam for any patients with jaw joint (TMJ/TMD) problems
- Comprehensive screening for oral cancer including an exam of your oral soft tissues, your glands and lymph nodes
- Radiographs
- Full mouth charting of your gums

We Highly Recommend Establishing a Program of Regular Dental Cleanings and Checkups to Make Sure We Can Catch Problems While They Are Small.
If a problem is detected early, often a small filling can be placed. Putting off routine dental care increases the chance of needing a root canal and/or crown for a problem that may have been detected when it was small. Also, it is important to keep checking the teeth to make sure existing fillings or dental work in your mouth is staying clean and healthy. This allows your dental work to last as long as possible. Even though you have fillings or crowns you can still get cavities underneath them, so we always check to be sure that they are not leaking.

During Your Prophylaxis/tooth Cleaning We Normally Also Perform a Periodic Exam.
This periodic exam includes:
- Oral cancer exam
- Examining your teeth
- Reviewing your medical history and how your different medical issues might affect your teeth
- Evaluating your gum tissue
- Removing the plaque and tartar from your teeth
- Removing surface stain
- Polishing your teeth
- Cleaning removable prosthesis such as dentures or partials or night guards
- Educating you about nutrition, tooth brushing, flossing, and areas that you may have a difficult time cleaning
Finally, we perform a complete full-mouth charting of your gums. A vital component of a proper dental exam is checking for and monitoring any gum disease. We do this by measuring “attachment loss”. Click here for more information about attachment loss and periodontal disease. We want to make sure your teeth have the appropriate bone and tissue support to allow for proper oral and systemic health. Scientific evidence links poor gum tissue health with diabetes and heart disease.
Before and After









