The Winchester Star Awards Winner - 5 Years in a row

Wisdom Teeth In Winchester, VA
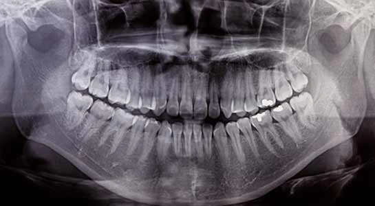
Wisdom teeth are also known as third molars. They usually start coming in between the ages of 17 to 21. They may become impacted if there is not enough space in your mouth for them to erupt fully. A wisdom tooth becomes impacted when it is blocked from pushing through the gums into your mouth. Wisdom teeth can also sometimes come in sideways or be tilted.

An Impacted Tooth Can Be Painless and You Might Not Even Realize It is There.
However, the gums covering part of or the entire impacted tooth can become infected causing swelling and pain. This is called pericoronitis. Sometimes you might even feel pain in your ear from an impacted wisdom tooth. The infection can spread down your throat or into your neck requiring you to be admitted to the hospital. An impacted tooth can sometimes get a cavity or cause a cavity on the tooth in front of it.

Some of the Symptoms of Pericoronitis Include:
- Swelling of the gums in the back of your mouth
- Difficulty opening your mouth
- Bad breath or bad taste in your mouth
- Pain when you open your mouth
- Pain when chewing or biting
- Pain radiating up to your ear
For Your Convenience We Offer Removal of Third Molars in Our Office With or Without Sedation. We Can Also Refer You to an Oral Surgeon Depending on Your Preference.
Before and After









