The Winchester Star Awards Winner - 5 Years in a row

One-Visit Root Canals In Winchester, VA


Symptoms You May Experience When Needing a Root Canal:
- Lingering pain, more than 10 seconds, after eating hot or cold food
- Constant pain and pressure
- Spontaneous pain and pain that wakes you up at night
- Swelling on the gum, “gum bump”
- Sensitivity to biting or touch
- Pain that feels like a pulsing heartbeat
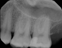
What is a Root Canal?
Root canal therapy is the process of removing the “pulp” of a tooth (the inside of the tooth comprised of nerves, blood vessels) when the tooth has become so infected or damaged that the only choice is either extraction or removal of the infected “pulp”.
We numb the tooth using a local anesthetic. Then we access the pulp by creating a small hole in the crown of the tooth, which allows us to clear out the infected tissue using a series of drills and files. This process often can be done in just one visit, but sometimes can require multiple appointments if we need to place antibiotics inside the tooth to get rid of severe infection.
Once the tooth is infection-free, the tooth and canals are sealed up to help prevent future infections. Depending on the condition of the tooth, a final restoration will then be placed. In most cases, the final restoration will be a crown for maximum protection.
Before and After










