The Winchester Star Awards Winner - 5 Years in a row

Orthodontics In Winchester, VA

At Smiles of Virginia, We Offer Orthodontic Options:
- Traditional Braces
- Clear Aligners
- PowerProx Six Months Braces© (read more below)
- Clear Aligners
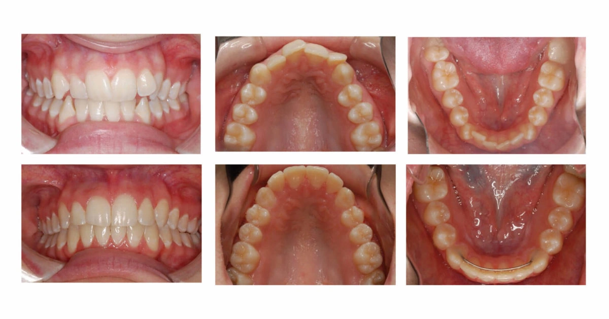
What is PowerProx Six Months Braces©?
The PowerProx Six Months Braces© is a short-term orthodontic treatment. This method uses time-tested technique combined with the latest in orthodontic materials to move your teeth both quickly and safely. Many of the components that make up the Powerprox Six Months Braces© actually have been used in orthodontics for over 60 years.
One of the Key Features of Powerprox Six Months Braces© is the Use of Shape Memory Incorporated Into Hi-tech Arch Wires.
With shape memory wires, no matter how the wire is bent or twisted by the current improper position of your teeth, the wire will return to the ideal original shape. This allows your teeth to automatically move to the desired location. And most of our cases are completed in just 6 months.




