The Winchester Star Awards Winner - 5 Years in a row

Veneers (Laminates) In Winchester, VA
DENTAL VENEERS ARE A POSSIBLE SOLUTION TO HELP YOU ACHIEVE THE SMILE YOU DESIRE.
Veneers are a thin cover, that is placed on top of the tooth, and then adhered using state of the art bonding procedures. Due to being so thin (as thin as 0.2mm or 0.0079 inches), we often do not have to remove any tooth structure. We can simply just placed them on top of the existing tooth. Veneers are often called “instant orthodontics” as they can correct many of the same things orthodontics can and they only take about 2 weeks to fabricate.

Porcelain dental veneers can be used to:
- Close gaps between teeth
- Straighten crooked teeth
- Correct teeth that are chipped or stained
- Change the shape and length of teeth
WHETHER THE VENEERS ARE USED ON ONLY A FEW TEETH, OR AS PART OF A COMPLETE SMILE MAKEOVER, WE ARE EXCITED AND PROUD TO HELP PATIENTS LOVE THEIR SMILE THROUGH PORCELAIN VENEERS.
All of our veneers are custom made and the fabrication requires a high degree of technical skill, so we only use dedicated veneer labs for our cases. To give you the custom smile you have been dreaming of, it also requires attention to every little detail and good communication between the dentist and the patient to ensure you will love your new smile. Veneers are a routine procedure for us and we always go above and beyond to make sure you are satisfied.


To enhance our commitment to esthetic dentistry we are also members of the American Academy of Cosmetic Dentistry.
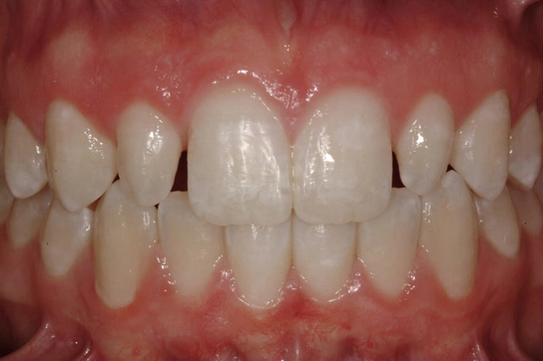
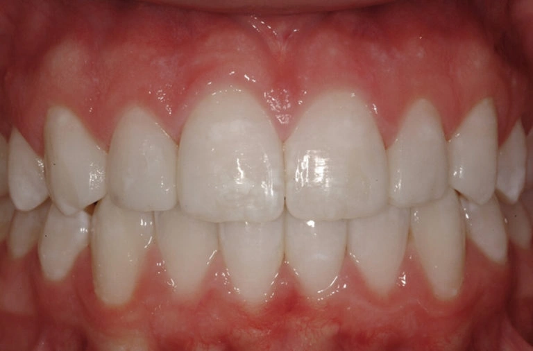
Before and After









