The Winchester Star Awards Winner - 5 Years in a row

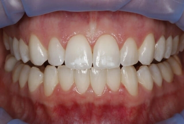
Treatment for White Spots After Braces – Resin Infiltration Therapy
THE MOST COMMON CAUSE OF WHITE SPOTS ON TEETH IS THE LOSS OF MINERAL CONTENT FROM THE ENAMEL OR THE OUTSIDE HARD LAYER OF THE TOOTH.
The chalky-white areas are due to loss of mineral from the surface – a process known as demineralization. These spots can be a significant cosmetic concern, especially right after braces/orthodontics. The spots are also the early signs of tooth decay.

HOW DO YOU TREAT TEETH WITH WHITE SPOTS?
We, at Smiles of Virginia Family Dental Center, always prefer a conservative approach. Resin Infiltration Therapy is a new, noninvasive technique, to lessen the appearance of white spots and help rebuild the white demineralized areas without taking away any enamel or tooth structure. The system was originally developed in Europe, but is now approved for treatment in the US. Dr. Oestervemb and Dr. DeWeerd uses this system to help minimize the appearance of white spots. The system is painless and very fast. Most of our patients have had great results after one visit. We are so proud to offer our patients yet another cutting edge treatment option.

WHAT CAN CAUSE WHITE SPOTS?
- Orthodontics: dental hygiene is difficult during orthodontics and plaque/food buildup around the braces can leave you with white spots when the braces are removed. This is the most common reason for “resin infiltration therapy”
- Acidic foods and drinks: consuming beverages with a high content of sugar and/or acids can demineralize the enamel
- Acid reflux: if you suffer from GERD (gastroesophageal reflux disease) you can experience a higher level of acidity inside your mouth. The acidity can cause damage to your teeth by dissolving the mineralized surface of the tooth.
- Dry mouth: unfortunately, many prescription drugs cause dry mouth which affects your mouth’s pH level and can accelerate the loss of tooth structure through demineralization.
- Fluorosis: caused by excessive fluoride, often in the water supply. You will notice white spots on a child’s teeth as they come into the mouth.
WILL “RESIN INFILTRATION THERAPY” WORK ON ALL WHITE SPOTS?
The effectiveness of the treatment depends on the cause of the white spots, and depending on the cause of the white spots, in some instances it will not work. Please visit us for a consultation so that we can determine the cause of the white spots and recommend the appropriate treatment.
White Spots Before

White Spots After




