The Winchester Star Awards Winner - 5 Years in a row

At Smiles of Virginia, There is No Longer a Need to Fear Having a Tooth Extracted.
People often fear dental extractions so we offer both nitrous oxide (laughing gas) and IV-sedation for your comfort. Our goal is always to save teeth, so we will do everything that we can to avoid tooth removal. However, sometimes a tooth may need to be taken out (extracted).
Some of the Reasons Why Teeth Need to Be Extracted Include:

- Extensive tooth decay/cavity or damage to the point where a tooth can no longer be repaired
- An abscess
- A fracture of a tooth through the root
- Failed root canal therapy
- Severe gum disease
- Trauma to the face and teeth
- Financial reasons in that trying to save the tooth would require too much of an investment to be worth it
We will first examine the area that is causing you pain or issues and determine if the tooth or teeth can be saved. If it can be saved, we will give you different options and review any associated costs.
If you then determine you prefer the extraction, or it turns out the tooth cannot be saved, we will review options for replacement.
Before having an extraction, it is very important to have an idea as to what type of replacement, if any, you would like.
Your choice of replacement can affect the procedures done at the time of tooth extraction. For example, it is important to know if a patient intends to have an implant placed. If you desire an implant we can sometimes place the implant the same day as the extraction (immediate implant). We can also discuss possible bone grafting (bone socket preservation) to help you keep enough bone if you want an implant in the future. If you do this at the time of extraction you will minimize the number of procedures needed in the future when you decide to have a dental implant placed.
No More "Yanking" Your Tooth
We are hear horror stories about dentists sitting on patients chest to pull a tooth. This is a thing of the past. Dr. Oestervemb has extensive training and uses special instruments designed for minimally invasive surgeries. This atraumatic extraction technique means less pain afterwards, more bone is preserved, and a more comfortable experience for you during the extraction. By preserving more bone we also increase the change of you being able to get a dental implant.
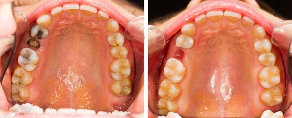
Before and After









